A Comprehensive and Cutting-Edge Approach to Dental Care
Dr. Lion Grenader and Dr. Michael R. Errico
Dentist in Rolling Meadows, IL

Providing Quality and
Compassionate Dental Care for over 65 Years!

Dentist in Rolling Meadows, IL
Dr. Lion Grenader

Welcome to Innovative Dental!

At Innovative Dental, we are committed to providing the highest quality care through the use of advanced technology, ensuring both precision and comfort for every patient. We understand that visiting the dentist can be daunting, so we prioritize creating a welcoming and relaxing environment where your comfort is our top priority. With a team that values empathy and listens to your needs, we make sure to provide personalized care that caters to your unique situation. Whether it’s a routine check-up or more complex procedures, our focus is on delivering exceptional care in a way that makes you feel informed, supported, and at ease.

Meet the doctor

Dental Services

Our dental office offers a comprehensive range of services designed to meet the needs of every patient, from routine check-ups and cleanings to advanced cosmetic and restorative laser treatments. Whether you’re looking for preventive care, teeth whitening, orthodontics, or dental implants, our experienced team is equipped to provide tailored solutions to enhance your smile and overall oral health. We also specialize in family dentistry, bite equilibration, and emergency treatments, ensuring that patients of all ages receive the best care possible. No matter what your dental needs are, we’re here to provide expert care in a comfortable, friendly environment.

Smile
Gallery

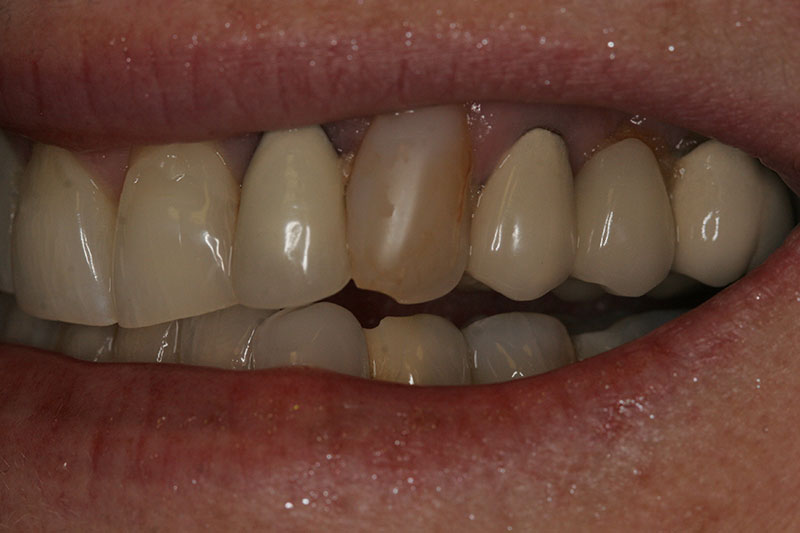
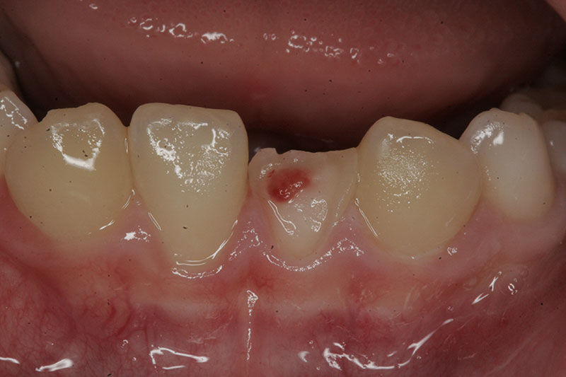
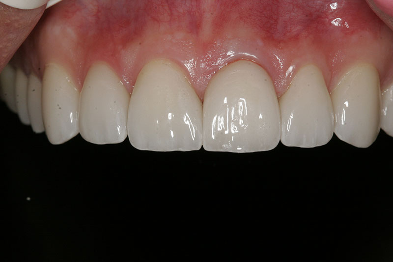
Let the results speak for themselves. Check out photos of our satisfied patients, showing the results that are possible when you are working with a skilled dental team that uses modern technology. Our expert dental care is accessible to everyone.

EXPLORE MORE
Innovative Dental - Broken Tooth - Case 1 - Before Innovative Dental - Broken Tooth - Case 1 - After
Innovative Dental - Crowns - Case 1 - Before Innovative Dental - Crowns - Case 1 - After
Innovative Dental - Fractured Teeth - Case 1 - Before Innovative Dental - Fractured Teeth - Case 1 - After
Innovative Dental - Full Maxillary Crown - Case 1 - Before Innovative Dental - Full Maxillary Crown - Case 1 - After
Modern Dental Technology

Our Technology

One thing that makes Innovative Dental stand out from other dental offices in Rolling Meadows, IL, and the surrounding areas is the way we have invested in the best technology for our patients. We offer a range of options, including no-shot fillings, laser gum treatments, and advanced digital imaging.

The use of technology in modern dentistry ensures accurate diagnosis while also improving the outcome of various treatments. Contact our team if you would like to learn more about the ways we use technology to optimize your dental treatments.

Request Appointment
Call Us!